你有没有想过,每次去牙医那里,看着医生那熟练的手法,是不是也想要自己动手丰衣足食呢?别急,今天就来带你一探究竟,揭秘口腔备牙的奥秘,让你在家也能轻松学习口腔护理小技巧!?
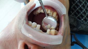
口腔备牙,究竟是个啥?
首先,得弄明白什么是口腔备牙。简单来说,口腔备牙就是为牙齿进行清洁和准备的过程。这个过程通常包括洁牙、抛光、喷砂等步骤,目的是去除牙齿表面的污渍、牙石和菌斑,让牙齿恢复光亮如新。听起来是不是有点复杂?别担心,接下来我会一步步带你了解。
视频教程,让你轻松上手
现在,网络这么发达,各种教程层出不穷。口腔备牙视频更是数不胜数,让你在家就能成为牙医小助手。下面,我就来推荐几个口碑不错的口腔备牙视频,让你轻松入门。
1. 《口腔备牙基础教程》:这个视频详细介绍了口腔备牙的基本步骤和注意事项,适合初学者观看。
2. 《家庭口腔护理小技巧》:这个视频不仅讲解了口腔备牙,还分享了一些家庭口腔护理的小技巧,让你全方位保护牙齿。
3. 《牙医教你如何正确刷牙》:刷牙是口腔护理的基础,这个视频教你如何正确刷牙,预防口腔疾病。
备牙工具,你准备好了吗?
当然,学习口腔备牙,工具也是必不可少的。以下是一些常用的备牙工具,你不妨提前准备一下。
1. 牙线:用于清洁牙缝中的食物残渣和菌斑。
2. 牙签:用于清洁牙缝和牙龈沟。
3. 牙刷:选择软毛牙刷,避免损伤牙齿和牙龈。
4. 漱口水:具有杀菌、消炎、清新口气的作用。
5. 喷砂器:用于去除牙齿表面的污渍和牙石。
口腔备牙,注意事项不可忽视
虽然口腔备牙看似简单,但也有一些注意事项需要你牢记。
1. 力度要适中:在清洁牙齿时,力度要适中,避免损伤牙齿和牙龈。
2. 顺序要正确:先清洁牙面,再清洁牙缝和牙龈沟。
3. 定期更换工具:保持工具的清洁和卫生,定期更换。
4. 咨询专业人士:在操作过程中,如有疑问,及时咨询牙医。
口腔备牙,好处多多
口腔备牙不仅能让你拥有一口洁白健康的牙齿,还有以下好处:
1. 预防口腔疾病:去除牙齿表面的污渍和菌斑,降低口腔疾病的发生率。
2. 改善口气:去除口腔异味,让你拥有清新口气。
3. 增强自信心:洁白健康的牙齿,让你更加自信。
4. 提高生活质量:口腔健康,生活更美好。
口腔备牙是一项简单而实用的技能,让我们一起行动起来,为自己的口腔健康保驾护航吧!?
文章声明:以上内容(如有图片或视频在内)除非注明,否则均为九九热在线视频原创文章,转载或复制请以超链接形式并注明出处。
本文作者:admin本文链接:https://www.jjiurzxsp.com/post/737.html



